Услуги
Диагностика
Ортодонтия
Ортопедия
Терапия
Хирургия
Гигиена
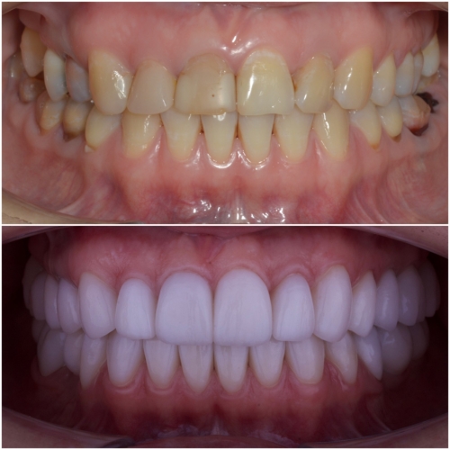
Виниры
Установка виниров - тончайших керамических пластинок - один из самых эффективных методов реставрации внешнего слоя зубов. С помощью этих микропротезов сегодня возможно скрыть различные эстетические дефекты зубов (сколы, пятна), изменить их форму, не подвергая зубы сильной обточке.
Развитие и широкое распространение новых реставрационных технологий в стоматологии в течение последних трех десятилетий способствовали признанию Виниров в качестве надежной методики эстетической реабилитации пациентов. Такой вид ортопедического лечения, главным образом, состоит в замещении видимой части эмали керамическим заменителем, который по своим механическим, биологическим и оптическим качествам максимально приближен к естественной эмали.
Этот метод ортопедического лечения использует минимальное препарирование зуба, главным образом ограничиваясь пределами зубной эмали, и поэтому позволяет сохранить целостность мягких тканей зуба, что является одним из главных преимуществ этой методики.
Если естественная эмаль зубов имеет дефекты в структуре, цвете или форме, то реставрация зубов при помощи виниров является лучшим способом достижения высокого эстетического результата.
Показания и противопоказания к установке виниров
Показания для использования виниров на зубы могут быть разнообразными:
- цветовые дефекты (флюороз, физиологическое старение, травма, поверхностное окрашивание тканей (чай, кофе или табак))
- дефекты формы (атипичная форма зуба)
- дефектная структура или текстура (стирание, переломы коронки)
- неправильное расположение
Противопоказания для использования виниров:
- недостаточная поверхность эмали
- депульпированные зубы
- неподходящая окклюзия (особенности прикуса)
- парафункция (бруксизм и т.д.)
- неподходящая анатомия
- кариес и пломбы
- плохой уход за зубами и гигиена
Консультация стоматолога-ортопеда
Перед тем, как решится на какую-либо эстетическую манипуляцию в полости рта, пациент должен проконсультироваться со своим лечащим врачом. Стоматолог-ортопед оценивает состояние зубов и всей полости рта пациента и решает, возможно ли в данном случае использовать виниры на зубы. На первой консультации, в моем случае, я провожу малый функциональный анализ, который включает в себя следующие этапы: заполнение анкеты, пальпация мышц головы и шеи, клинический осмотр полости рта и фотопротокол. Большое внимание уделяется так же общению с пациентом, обсуждению его эстетических пожеланий и целей, которых он хочет достичь при помощи керамических виниров. Такой глубокий анализ исходной ситуации позволяет улучшить прогнозируемость эстетического результата лечения и удовлетворить субъективные пожелания пациента.
Процедура установки виниров
- Прежде всего стоматолог-ортопед изготавливает диагностические модели. Зубной техник вместе с доктором на основе снятых слепков создают из специального воска «макет» будущей работы.
- Пациенту предлагают оценить (примерить, утвердить) будущий результат.
- Происходит препарирование поверхности зуба и снимается оттиск, который потом передается в зуботехническую лабораторию. По этому оттиску техник отливает из специального гипса модель и изготавливает керамические виниры. На время изготовления постоянных реставраций пациенту устанавливают временный винир из композитного материала.
- Стоматолог - ортопед снимает временный винир. При помощи специального композитного материала происходит фиксация постоянного керамического винира к поверхности зуба.


