Практика
Эстетическая реабилитация: комплексный подход
Пациентка обратилась в клинику для прохождения комплексного лечения.
Основные жалобы пациента на дискомфорт при смыкании зубов, проблемы с жеванием, а так же на неудовлетворительную эстетику.
В ходе ДИАГНОСТИКИ принято решение о начале ортодонтического лечения с последующей реабилитацией пациента эстетически.
ИСХОДНАЯ СИТУАЦИЯ
В результате ортодонтического лечения была решена основная жалоба пациента - дискомфорт при смыкании зубов, а так же проблемы с жеванием. Грамотно восстановленная окклюзия (прикус) пациента - это фундамент для дальнейшей эстетической реабилитации пациента.
В зоне эстетике, еще на этапе ортодонтии, решено было оставить равномерные промежутки между зубами. Такое планирование необходимо в тех случаях, когда мы хотим изменить форму зубов, а так же пропорции улыбки.
Эстетический анализ начинается с оценки внешнего вида улыбки:
- ровные красивые зубы
- здоровые десны
- правильная форма и размер зубов
ВОСКОВОЕ МОДЕЛИРОВАНИЕ (WAX UP)
При создании гармоничной улыбки мы исходим из классических параметров идеального состояния десен, характеризующихся следующими признаками:
- контур десны на центральных резцах ровный и симметричный
- контур десны на боковых резцах располагается на 1 мм ниже, чем на центральных
- при улыбке видна лишь небольшая часть десны
Именно исходя из таких параметров было решено создать ВОСКОВОЕ МОДЕЛИРОВАНИЕ!

MOCK UP
Перенос воскового моделирования в полость рта в виде временных виниров из композита. На примерке оценивалась улыбка и необходимость проведения десневой пластики.
ПРИМЕРКА ВОСКОВОГО МОДЕЛИРОВАНИЯ
Красота улыбки зависит не только от внешнего вида зубов, но и от состояния окружающих мягких тканей. Проведение хирургической коррекции десны в области передних зубов позволит создать гармонию белой и розовой эстетики (зона зуб/десна).
Приступаем к созданию хирургического шаблона.
ЭТАП ОПЕРАЦИИ
Два месяца после хирургической коррекции необходимо выждать.
А после приступаем к обработке зубов под ВИНИРЫ. Временные виниры являются ориентиром для понимания глубины обработки зубов.
ВИНИРЫ НА МОДЕЛИ

ФИКСАЦИЯ
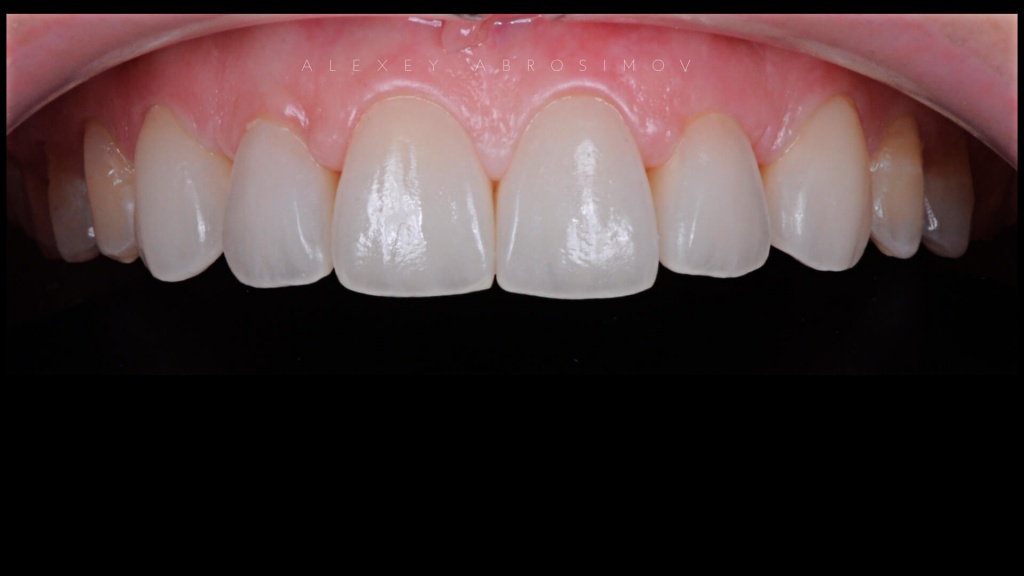
ВИНИРЫ В ПОЛОСТИ РТА
ДО/ ПОСЛЕ
Выражаю благодарность всей команде специалистов, принимавшим участие в данной работе:
Ортодонт - Ермаков Алексей Сергеевич
Хирург пародонтолог - Вольвач Юлия Юрьевна
Техник - Ликеева Зухра
ВОЗНИКЛИ ВОПРОСЫ? ОБРАЩАЙТЕСЬ:


