Практика
Реконструкция улыбки при вертикализации прикуса

Пациентка обратилась в клинику для проведения ортопедического лечения.
Жалобы на разрушение зубов, проблемы с жеванием, неудовлетворительную эстетику, бруксизм.
Ранее пациентке были установлены культевые вкладки в области боковой группы зубов.
Часть зубов находилась под временными коронками.
Со слов пациента около 3 лет назад проводилась подготовка к протезированию.

В полости рта:
стираемость зубов, множественные клиновидные дефекты, не совпадение центральной линии, дистальная окклюзия, множественные кариозные поражения.



Диагностика
Перед началом любого стоматологического лечения необходимо досконально собрать всю информацию о состоянии пациента, особенно если предстоит тотальная реконструкция прикуса и улыбки.

Расчет ТРГ



Этапы гипсовки моделей в артикулятор
Продолжаем диагностику и проводим инструментальный функциональный анализ. Устанавливаем модели в анатомическом соотношении к черепу и суставу.
Верхнюю челюсть переносим в артикулятор по кинематической дуге кондилографа. Нижнюю челюсть пригипсовываем к верхней челюсти в центральном соотношении.

Центральное соотношение


Кондилография
Проведя полную функциональную диагностику, я сделал следующий вывод: пациент полностью адаптирован как со стороны сустава, так и со стороны мышечной системы, несмотря на то, что отсутствует нормальное смыкание зубов в боковом отделе, а также потеряна высота прикуса. Однако очевидным является необходимость протезирования пациента в новом (терапевтическом) положении, для создания правильной схемы смыкания зубов. В данном клиническом случае принято решение о поднятия прикуса (вертикализации), так как у пациента патологическая истираемость, и необходимо место для будущих реставраций. На сколько поднять прикус? Это вопрос, который у коллег часто вызывает затруднение. Во-первых, необходимо обратить свое внимание на скелетное строение пациента, которое мы получаем при расчете ТРГ, а так же необходимо изучить инструментально функциональный анализ, в частности модели в артикуляторе.
Вертикализация (поднятие прикуса)
Проводим виртуальное моделирование поднятия прикуса (VTO) в программе Гамма на 5 мм (имеется в виду резцовый штифт артикулятора). Исходная высота прикуса 38.4 (значения получены при расчете боковой ТРГ). После поднятия прикуса получаем значение 40,8, что показывает нам, что мы работаем в зоне адаптации (зеленый участок), и это допустимо для данного пациента


Планирование
Начинаем функциональное восковое моделирование по индивидуальным настройкам пациента в артикуляторе.



Используем специальные ключи-трансферы для переноса воскового моделирования в полость рта пациента, в виде временных коронок и виниров.

Временные коронки, виниры и накладки.

Проверка точности переноса воскового моделирования в полость рта у пациента.


Временные реставрации пациент использует некоторое время для адаптации к новому положению, после полного привыкания начинаем постепенно переводить временные реставрации в постоянные.
1 Этап


2 Этап
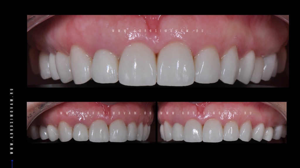
Вся боковая группа зубов - это постоянная керамика.







В данном клиническом случае пациент не предъявлял жалоб на сустав ВНЧС или проблемы с жевательными мышцами. Лишь время от времени пациент замечал, что сжимает зубы при психо-эмоциональном напряжении (брукс-поведении). Однако на момент обращения ко мне в Центр Функциональной Стоматологии зубы были изношены (истираемость) и частично разрушены.
В таких случаях необходимо более досконально подходить к изучению пациента, в частности, свое лечение начинать после тщательного проведенного функционального анализа. Очевидным является создание «оптимальной окклюзионной схемы» для данного пациента (схема смыкания зубов). При таком подходе реставрации (новые зубы пациента) будут служить гораздо дольше, а работа сустава ВНЧС и жевательных мышц будет гармонична.

ВОЗНИКЛИ ВОПРОСЫ? ОБРАЩАЙТЕСЬ:


